La Resonancia Magnética (RM), es una exploración radiológica que nace a principios de los años 80 y es una técnica que permite obtener imágenes del organismo de forma incruenta (no invasiva) sin emitir radiación ionizante y en cualquier plano del espacio.
Posee la capacidad de diferenciar mejor que cualquier otra prueba de radiología las distintas estructuras anatómicas. Pueden añadirse contrastes paramagnéticos como el gadolinio para delimitar aún más las estructuras y partes del cuerpo.
La obtención de las imágenes se consigue mediante la estimulación del organismo a la acción de un campo elecromagnético con un imán de 0,2 Tesla (Equivalente a 2 mil veces el campo magnético de la tierra). Este imán atrae a los protones que están contenidos en los átomos de los tejidos, que se alinearán con el campo magnético.
Cuando se interrumpe el pulso, los protones vuelven a su posición original de relajación, liberando energía y emitiendo señales de radio que son captadas por un receptor y analizadas por un ordenador que las transformará en imágenes (cada tejido produce una señal diferente).
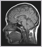
En la Resonancia Magnética las imágenes se realizan mediante cortes en tres planos: axial, coronal y sagital, sin necesidad de que el paciente cambie su posición. Las resonancias magnéticas atraviesan los huesos, por ello se ven muy bien los tejidos blandos.

Cada una de estas pruebas radiológicas pueden ser complementarias unas de otras, en muchos casos, según se está avanzando en la definición de una patología concreta, se pidan unas exploraciones específicas, ya que dependiendo la zona a investigar, unas técnicas son más resolutivas que otras.
El diagnóstico por imagen o radiología es una especialidad más dentro de la medicina y junto a otras pruebas clínicas y bajo la dirección de los médicos cada especialidad sirven para cumplimentar el proceso de resolución de una patología concreta.
Fuentes:

De Lunes a Jueves
De 7:30 a 13:00 y
de 14:30 a 19:30
Viernes
De 7:30 a 14:00
Sábados y domingos
Cerrado
Analíticas
Puntos de extracción en los dos centros,
de 7:30 a 10:00

Pza. Euskal Herría, 3, bajo
943 794 422

Avenida de Nafarroa, 3, bajo
943 794 422